SGA TREATMENT FOR ACNE
Why Choose Us
Ready to make an appointment for this treatment?
What is Acne?
Acne is a skin condition that occurs when your hair follicles become plugged with oil and dead skin cells. It causes whiteheads, blackheads or pimples. Acne is most common among teenagers, though it affects people of all ages.
Effective acne treatments are available, but acne can be persistent. The pimples and bumps heal slowly, and when one begins to go away, others seem to crop up.
Depending on its severity, acne can cause emotional distress and scar the skin. The earlier you start treatment, the lower your risk of such problems.
What is Sebaceous Gland Ablation(SGA)?
Sebaceous gland ablation (SGA) is the selective destruction of the hyperactive sebaceous gland by a high frequency current (thermolysis).
This treatment quickly eases the sensation of pressure and pain experienced by the patient suffering with severe cystic acne; without of creat scarring.
It utilises a combination of insulated RF needle and radio frequency to eliminate the selective sebaceous gland with the active acne or breakouts, minimize the risks of any burns or damages on skin.
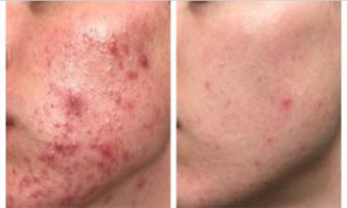
The benefits can include reduced active acne, breakouts, blackheads, whiteheads, milliars or pore size, improve oily skin, and the treated area will regenerate collagen to make the skin healthier, firmer and smoother. For optimism results, a course of 4-6 treatments and aftercare products are recommended.
Free consultation and assessment
Cost effective and great result treatment
Customized Services
FAQ
SGA uses a combination of dermal Needling and radio frequency. Dermal Needling reaches the sebaceous gland of thepores to eliminate them, which overactive and cause the acne and breakouts. Radio frequency uses low level radio wavesto cause a thermal reaction within the dermis. This heat metabolises unhealthy cells and sebaceous gland, in-turn causinga stimulation to produce healthy new cells. The result is reduced the acne / breakouts, minimize the pore size and overalskin rejuvenation
Skin rejuvenation.
Refine pores and improve skin texture.
Reduce miliars.
Help oily skin.
*Results may vary individually
Treatments can be repeated 3-4 weeks until you achieve the desired results. We recommend starting with 4+ treatmentsFor severe acne, an average of 6-8 treatments are recommended. Results can be seen from one to four weeks aftertreatment. Tvpically, you will see results after your first treatment followed by the recommended aftercares, Lasting andmore significant results will occur after 6 treatments.
As the treatment is non systemic, it is highly unlikely to cause side-effects. However, due to the nature of the treatmentsome transient ervthema should be expected. t is also possible that when the inflammatory content is released fromlesions, it can spread to surrounding tissues, causing further inflammation.
It typically leads to visible improvement and reduction of lesions within two to three days of treatment, as opposed to theseveral weeks that untreated lesions can take to heal on their own. Following 1 treatment the effects wil be seen visibly.Following a course of 4-6 treatments the results will be seen significantly.
DON’T
*1-5 davs after treatment:. Possible mild localised sweling and redness (tomato red), skin may feel ike a bum afteltreatment, petechia on skin surface (tiny red dots) sweling immediately after treatment e.g acne pores can swell up.
* Avoid all active skincare for the first 2 weeks after treatment. Such as AHA’s (Glycolic Acid), BHA’s, benzoyl peroxideRetinol, alcohol based topical skincare.
* No makeup/spray/self tanning after treatment for minimum 24 hours and or until all the reactions are disappeared.
* Avoid heat of any source e.g. sauna, hot shower, solarium, blow drying hair and no exercise & swimming for 24 hours
Avoid all kinds of the skin treatments / cosmetic tattooing / rubbing or stimulating the area treated for the first two weeks
* Avoid muscle relaxant / dermal filler injections for the treated areas for the first two weeks
*Avoid direct sun exposures for the first two weeks.
DO:
* Use gentle cleanser and all the recommended aftercares from your therapist. Wear SPF50+ daily
*Use mineral makeup for sensitive skins.
Whilst we have seen wonderful results from the treatment, please know that results do vary and we cannot make guarantees. We recommend coming and speaking to our clinic technicians for an in-depth consultation. They will discuss in detail how the treatment works, whether it will be right for your skin type and the expected results in line with your treatment goals.












